Call Us: (+91) 90032 09030
Email: drdcglobal@gmail.com
Home
About Us
Treatments
Oral Evaluation
Conservative Treatments
Endodontic Treatments
Prosthodontics Treatments
Oral & Maxilofacial Surgeries
Periodontics Treatments
Orthodontics Treatments
Dental Implants
Dental Tour
Gallery
Enquiry
Contact
Home
About Us
Treaments
Oral Evaluation
Conservative Treatments
Endodontic Treatments
Prosthodontics Treatments
Oral & Maxilofacial Surgeries
Periodontics Treatments
Orthodontics Treatments
Dental Implants
Dental Tour
Gallery
Enquiry
Contact
Treatments
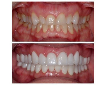
Periodontics
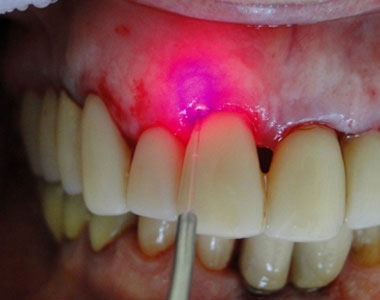
Laser Surgeries
Formable Glass Fibre Splinting
Aesthetic Gum Surgeries
Scaling
Root planning
Flap surgeries
Gingivectomy
Laser assisted frenectomy
Curettage
© 2016 Rimo | All Rights Reserved. Powered by
SS Technologies